環境・科学
-
使用済み核燃料の地下埋蔵施設、実現まであと少し スウェーデン
-
新たなペンギン生息地を発見、衛星写真に映った「フン」で
-
宇宙飛行士らを悩ます「宇宙頭痛」、研究結果
-
海岸に打ち上げられたクジラ、南アフリカ
-
2013年以降の温暖化枠組みに向けた国連の特別作業部会が開幕、ドイツ
-
「アトランティス」、ジェット機に背負われ帰路へ 米国
-
ツタンカーメンの父親は?DNA鑑定で解明なるか
-
スマトラ島沖で発見の巨大海山、火山の可能性も
-
永久凍土の融解は長期的脅威、CO2排出量は10億トン
-
自然界の創造、「石灰岩の聖堂」 オーストラリア
-
ボノボを絶滅から救え、コンゴに新たな保護区
-
米の世界最大レーザー核融合施設、スーパーレーザーを公開
-
日本の環境NPOグリーンバード、エッフェル塔付近をそうじ
-
2億6000万年前の大噴火で世界中の海洋生物が死滅、英大研究
-
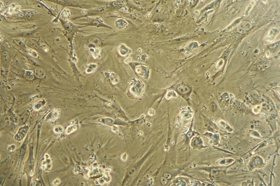
iPS細胞の安全な作製手法を開発、来年に臨床試験へ
-
フィリピンで希少種のシカ、生息の痕跡を発見
-
色鮮やかなアゲハチョウ、メキシコ
-
気候変動で家畜の病気が増加、人間への危険も 国際獣疫事務局