ライフ
-
世界初の内視鏡下パルス電場腫瘍摘除術 中国・西安で実施に成功
-
下着姿でチャリティーラン 米首都
-
中国大型水陸両用機「鯤龍」AG600M 検証のテスト飛行を開始
-
中国とケニア共同建設のナイロビ高速道路 車の通行台数が1千万以上に
-
【今日の1枚】恵みの浜辺、釣果を載せて インドネシア
-
中国の医師 欠損歯の代わりに親知らずを巧みに使用
-
パラグライダーふわり、宙に舞う コロンビア
-
黒竜江省の国境地帯で野生のアムールトラの足跡発見 中国
-
中国飲食業、安定的に回復
-
バイクの大集団が巡礼 黒いキリスト目指し グアテマラ
-
コルシカ島の古楽器「セテラ」 職人の手で再現
-
中国の男性、靴ブラシやほうきで武侠の水墨画を描く
-
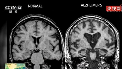
中国人科学者がアルツハイマー病分野で 記憶衰退を引き起こす「引き金」見つけ出す
-
北京市副都心でアジア最大の地下交通ターミナルを建設中
-
虐待受けた犬猫の保護施設 メキシコ市
-
【今日の1枚】息もぴったり、高所で清掃作業 シンガポール
-
カルロス・サウラ氏死去 91歳 スペイン映画界の巨匠
-
氷の中を進む極寒のカヌーレース、3年ぶり復活 カナダ